Culprits of Bad Breath
Proper teeth cleaning in Fort Lauderdale, FL can help you prevent bad breath. Get ahold of us if you think you have stubborn bad breath.
Proper teeth cleaning in Fort Lauderdale, FL can help you prevent bad breath. Get ahold of us if you think you have stubborn bad breath.

We've all done it! Each of us tried to exhale into a cupped hand before taking a long whiff to check whether or not our breath smelled foul. Good teeth cleaning and regular dental visits in Fort Lauderdale, FL, are the key to having fresh breath all the time.
Halitosis, commonly known as bad breath, affects everyone. A bad taste or foul odor in the mouth can be brought on by strong-scented foods, coffee, and a dry mouth. If you frequently chew gum, suck on mints, or gargle mouthwash to mask foul breath, it's time to quit using these band-aid solutions. You should identify the underlying source of halitosis.
.jpeg)
Underlying medical issues may cause bad breath. If you frequently experience acid reflux or gastroesophageal reflux disease (GERD), the acid can quickly cause bad breath. GERD can progress into a severe illness if left untreated.
Chewing tobacco and other tobacco-based items like cigarettes contribute to foul breath. Smoking can alter your sense of taste and smell. Therefore, many smokers may not know they have bad breath.
Smokers typically experience what is known as "smoker's breath," a stale smell brought on by cigarette smoke that is still present in the throat and lungs. Additionally, smoking leaves chemical residue in the mouth that can interact with saliva to produce bad breath.
Smoking can cause the mouth to become dry, which also results in less saliva being produced. Because saliva isn't present to regulate the activity of the bacteria in the mouth, the chemicals from smoking have a chance to flourish.
A dry mouth is one of the causes of bad breath. It is worse than the usual "morning breath." When you sleep, saliva production is reduced, and mouth breathing or snoring can further dry up the mouth. The most straightforward technique to eliminate the odor is to drink lots of water and maintain a regular, healthy dental hygiene schedule.
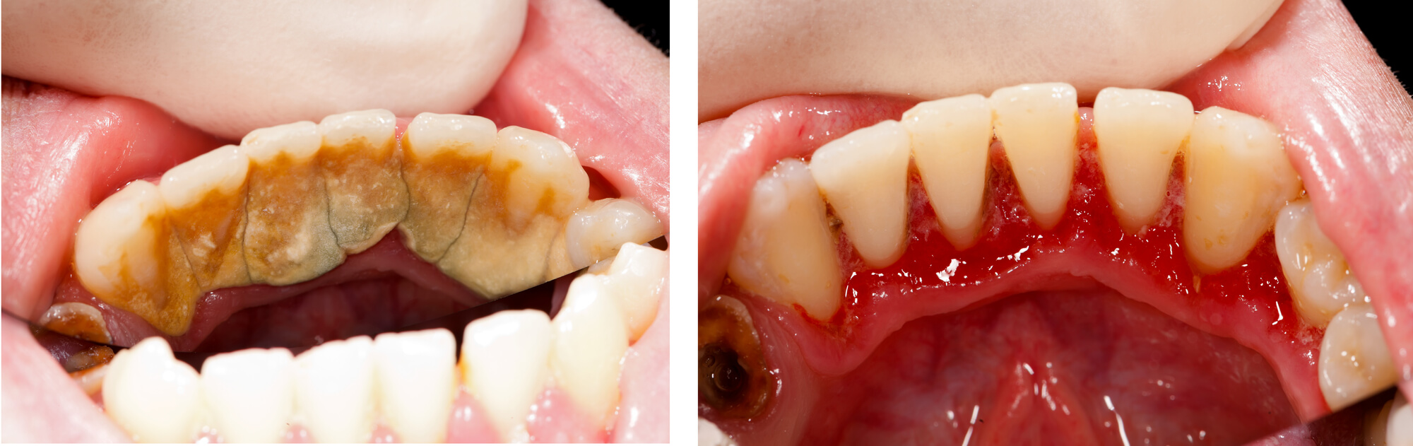
The most frequent cause of bad breath is plaque development from careless dental hygiene practices. After eating, brushing and flossing your teeth correctly can help eliminate food remnants from your mouth. Food particles are stuck on the teeth, gums, and tongue if you don't brush and floss. This bad habit allows germs to thrive and plaque to form. Bacteria and plaque accumulation cause a foul mouth odor, which won't disappear until your teeth are thoroughly cleaned.

Diet is also a major contributory factor when it comes to having bad breath. Foods known to do so include garlic, coffee, seafood, eggs, and onions. In addition to these items, sweets frequently cause your breath to smell.
Dental experts say bacteria produce an unpleasant odor as they feed on sugar. Gummies and caramels are known for frequently causing this to happen. Dark chocolate is the finest choice if you have a sweet craving!
.jpeg)
The microorganisms in our mouths are not all harmful. The early steps of food digestion require the presence of bacteria. However, occasionally, these bacteria and some of the proteins we ingest will react to produce odorous chemicals, which are responsible for bad breath.
It is not always possible to stop odors from being produced by the bacteria and protein mixture. However, the initial steps to getting rid of bad breath are regular brushing and flossing routine and regular dental visits. Drinking water, which improves salivation and reduces the chance of bacteria growing in a dry mouth, is another approach to prevent bad breath. Chew xylitol-containing gum to feel fresh right away.
Please schedule an appointment with our experts at Midtown Dental Studio so you can better freshen your breath.
7500 NW 5th St #115, Plantation, FL, 33317
midtowndentalfd@gmail.com
(954) 791-7172
Office Hours:
Monday - Thursday 8:10am to 5pm
Fri, Sat & Sun: Closed