Strengthen &
Beautify Your Smile
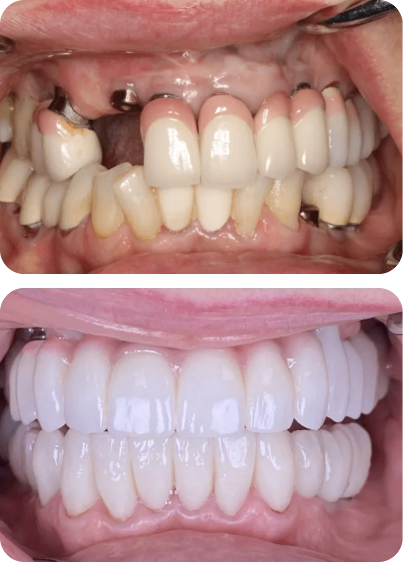
First of all, dental implants help stimulate and protect your jaw bone after tooth loss, unlike bridges or dentures. This protects the strength of your jaw, as well as the appearance of your face, which can change over time due to bone loss. Implants also never move or shift when you smile, eat, or chew, and they look and feel completely natural. Not only that, but they can last 30+ years with proper care. Most types of dental implants also require minimal maintenance, making them easy to care for. For all of these reasons, implants are considered to be the "gold standard" for permanent tooth replacement.



.webp)



.webp)