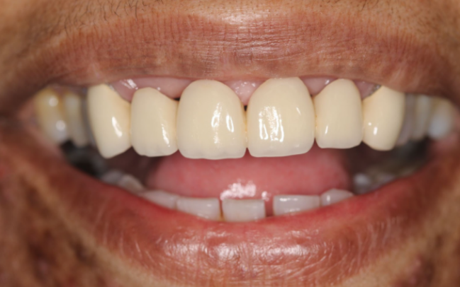
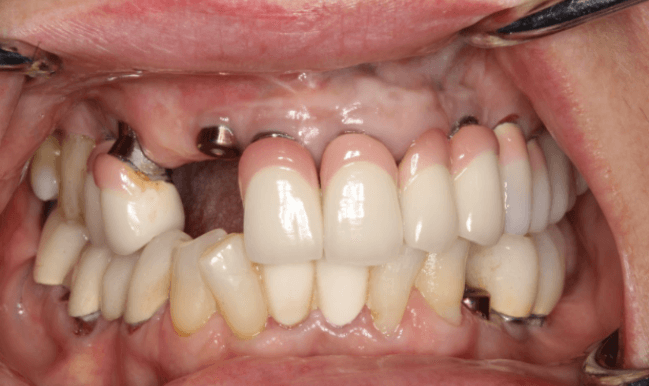
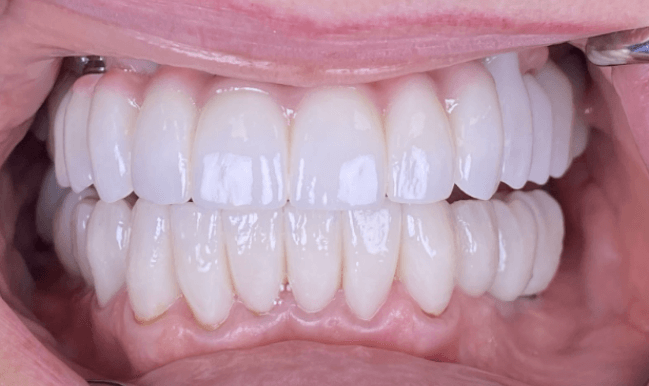
Sleepy/Sedation Dentistry in Plantation, FL
Feeling anxious about your dental visit? You're not alone! At Midtown Dental Studio in Plantation, FL, we offer gentle sedation dentistry to ensure your experience is as comfortable and stress-free as possible. Whether you feel uneasy about a routine cleaning or need extra relaxation for a full-mouth smile makeover, our mild sedation options, including oral sedation and nitrous oxide ("laughing gas"), help you stay calm and at ease.

.png)









