











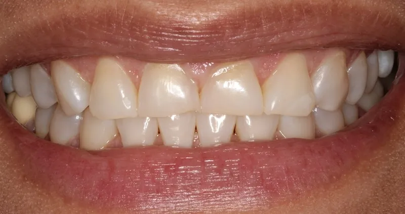
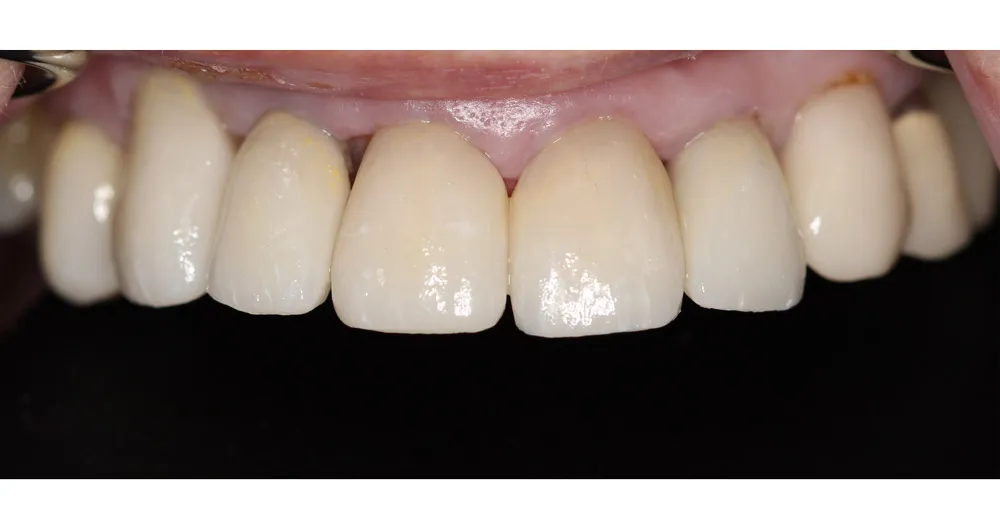
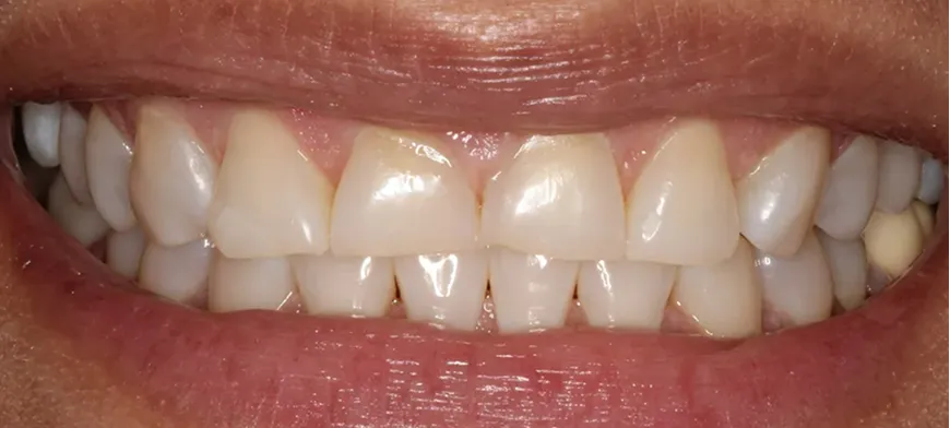
We'll give you that picture-perfect smile you’ve always wanted.
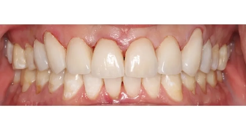
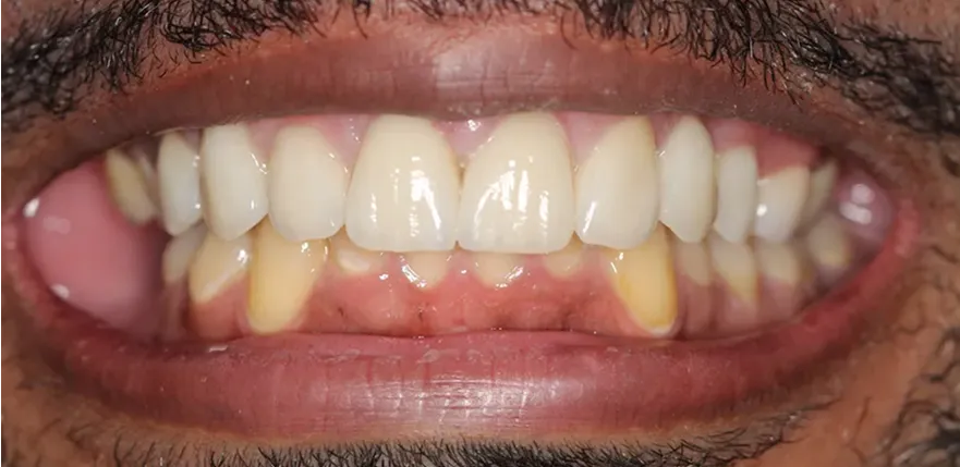
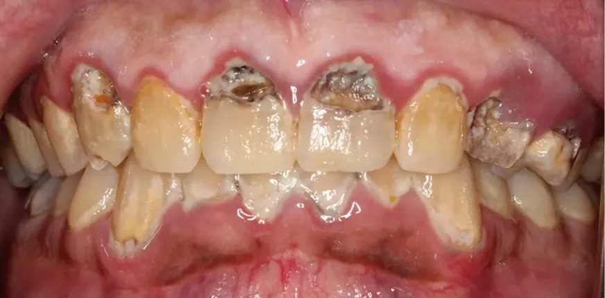
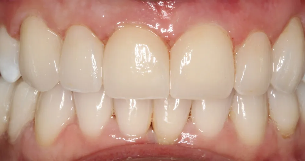
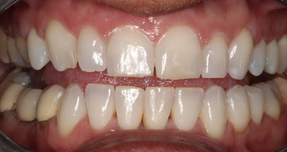
Let us restore the health of your mouth so you can smile with confidence.
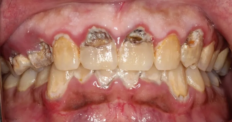
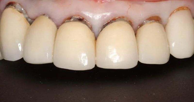
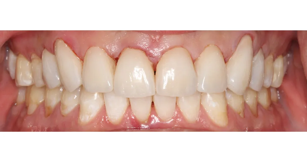
Count on us to help manage your overall oral health.
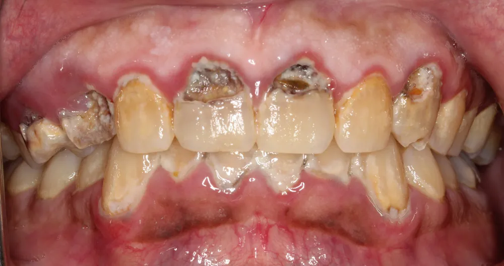
For those moments where you just can’t wait to see a dentist.